Skip to main content

Precision medicine

By Emily Olsen | 02:28 pm | May 03, 2022
Also: Imagene AI raises $21.5 million across two rounds for precision cancer care, and Capable Health scores $6 million in seed funding to help providers build healthcare apps.
By Emily Olsen | 03:31 pm | March 03, 2022
Also: Rupa Health raised $20 million for its lab test platform, and CancerIQ scooped up $14 million in Series B funding.
HIMSS21
By HIMSS TV | 07:00 am | December 15, 2021
CEO and cofounder of InsightRX Sirj Goswami shares how precise dosage, determined for each patient, can improve healthcare and avoid unwanted outcomes.
By Emily Olsen | 12:28 pm | November 10, 2021
The clinical trial results will be used to expand Viome’s mRNA platform, which in May received FDA breakthrough device designation for identifying early signs of oral and throat cancers.
By Emily Olsen | 04:49 pm | November 09, 2021
The industrial giant plans to retain a stake of almost 20% in GE Healthcare.
By Emily Olsen | 02:18 pm | October 15, 2021
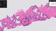
The partnership will initially be used to distribute PathAI’s research-use-only algorithm focusing on immuno-oncology.
By Mallory Hackett | 12:23 pm | October 15, 2021
IntelliSite is designed to streamline workflows, enhance diagnostic confidence, facilitate collaboration, integrate AI and increase the efficiency of pathology labs.
By Mallory Hackett | 12:55 pm | October 12, 2021
The SoftVue system is intended to be used in addition to digital mammograms to screen for cancer among patients with dense breast tissue.
By Adam Ang | 03:31 am | September 28, 2021
The ANT-X system helps clinicians perform safe and accurate percutaneous needle placement.
By Mallory Hackett | 12:51 pm | September 22, 2021
Paige Prostate analyzes digitized biopsy slides and identifies areas that could be cancerous for the pathologist to review further.