Lunit to demonstrate its latest AI solutions for chest and mammography exams
South Korean medical AI startup Lunit is set to unveil its latest AI solutions for digital breast tomosynthesis (DBT) and chest CT by the end of the month at the 107th Scientific Assembly of the Radiological Society of North America.
Chest CT and mammography are examinations where doctors detect abnormalities indicative of lung or breast cancer.
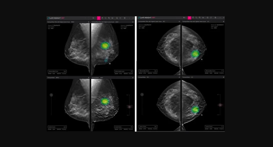
The company will introduce Lunit INSIGHT DBT which handpicks a 3D slice image with suspicious lesions among multiple images to accelerate reading and the Lunit INSIGHT Chest CT that automatically generates a detected module's location, type, volume and axial diameter.
"CT and DBT are more sophisticated examinations where you can further evaluate the specification of nodules or distinguish cancer. At this stage, our AI will be able to assist radiologists to diagnose cancer faster at higher accuracy," said Lunit Chief Product Officer Sunggyun Park.
The two Lunit products are under final validation and are expected to be officially launched next year.
InterSystems' IRIS for Health now a recognised data platform for i2b2
InterSystems in Australia has announced that its IRIS for Health data platform is now recognised by the Informatics for Integrating Biology & the Bedside (i2b2).
Together with its implementation partner First Line Software, InterSystems can now support the i2b2 community with IRIS for Health to enhance research workflows and performance outcomes.
IRIS for Health features FHIR-based solution development, certified healthcare interoperability, seamless data management and open analytics.
"With the help of InterSystems IRIS for Health, the i2b2 community will be equipped with more than just a database of information, but a variety of capabilities that allow researchers to extract actionable data in real-time for a more intuitive and seamless experience," said Scott Gnau, head of data platforms at InterSystems.
Over 100 large research institutions globally are using i2b2 technology to produce large-scale clinical research.
IRIS for Health is also recognised as a data platform for Postgres, Microsoft SQL and Oracle.
Augnito introduces medical dictation solution at SaaS fest
AI software developer Augnito has launched a software as a service festival where it introduced its medical dictation solution to medical practitioners. The event coincides with the celebration of Diwali or the festival of lights in India.
Augnito.ai, an AI-based speech-to-text SaaS, helps doctors save time on their reporting. Through the platform, users can edit, format and complete reports "at the speed of human speech". The device is best used for specialities producing detailed reports, such as radiology, histopathology and surgical notes.
The Big Diwali SaaS Fest, which the company claims to be a first in India, has onboarded over 1,000 new doctors. According to Augnito co-founder and CEO Rustom Lawyer, the event was launched to accelerate access to its voice AI solution and expand its footprint across the country.
Established in 2020, Augnito is now being used by over 6,000 physicians across more than 100 hospitals in India.


